Direkt zur Hauptnavigation springen
Direkt zum Inhalt springen
Home
Meine Welpen
Meine Hündinnen
In Erinnerung
Über mich
Kontakt
Meldung von den Boxern vom Lankwitzer Orden
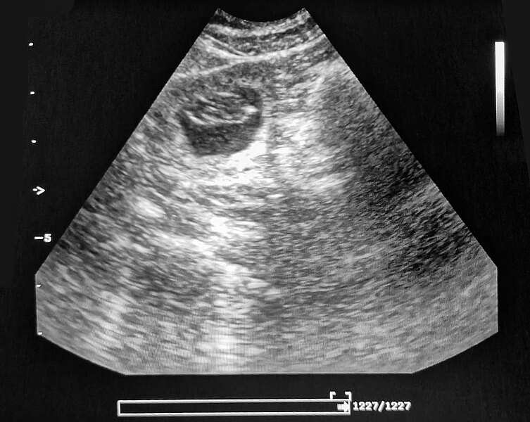
Wir waren beim Ultraschall
29.08.2025
Zilly hat aufgenommen!
Zurück
Home
Meine Welpen
Meine Hündinnen
In Erinnerung
Über mich
Kontakt